Forscher entwickeln enzymgetriebene Mikroroboter die autonom ...
Google Workspace führt automatischen Raum-Check-in ein ...
Alle reden über ShockWave Medical – viraler Hit aus der ...
Forscher-Trick: Lebensmittelfarbe macht Haut durchsichtig. ...
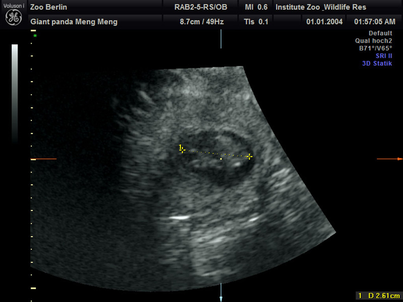
Berliner Zoo glücklich: Wieder Panda-Nachwuchs erwartet. ...
Wieder Panda-Nachwuchs im Berliner Zoo erwartet
Trächtig oder nicht? - Panda-Dame per Ultraschall untersucht. ...
25 Jahre Ultraschall Berlin / Festivalstart mit dem Deutschen ...



