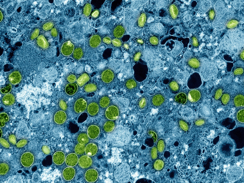
WHO hebt internationale Gesundheitsnotlage wegen Mpox auf
Internationale Notlage wegen Mpox aufgehoben. Warum die ...
Mehr Fälle von Mpox – aber Experte bislang gelassen. ...
Experten-Warnung: Mpox könnte zu ernster Bedrohung werden. ...
Lauterbach: Mpox derzeit kein flächendeckendes Problem
Schulschließung wegen Mpox - Was bedeutet das?
Schule bleibt wegen Mpox vorsorglich geschlossen. Für Schüler ...




