Berliner Zoo glücklich: Wieder Panda-Nachwuchs erwartet
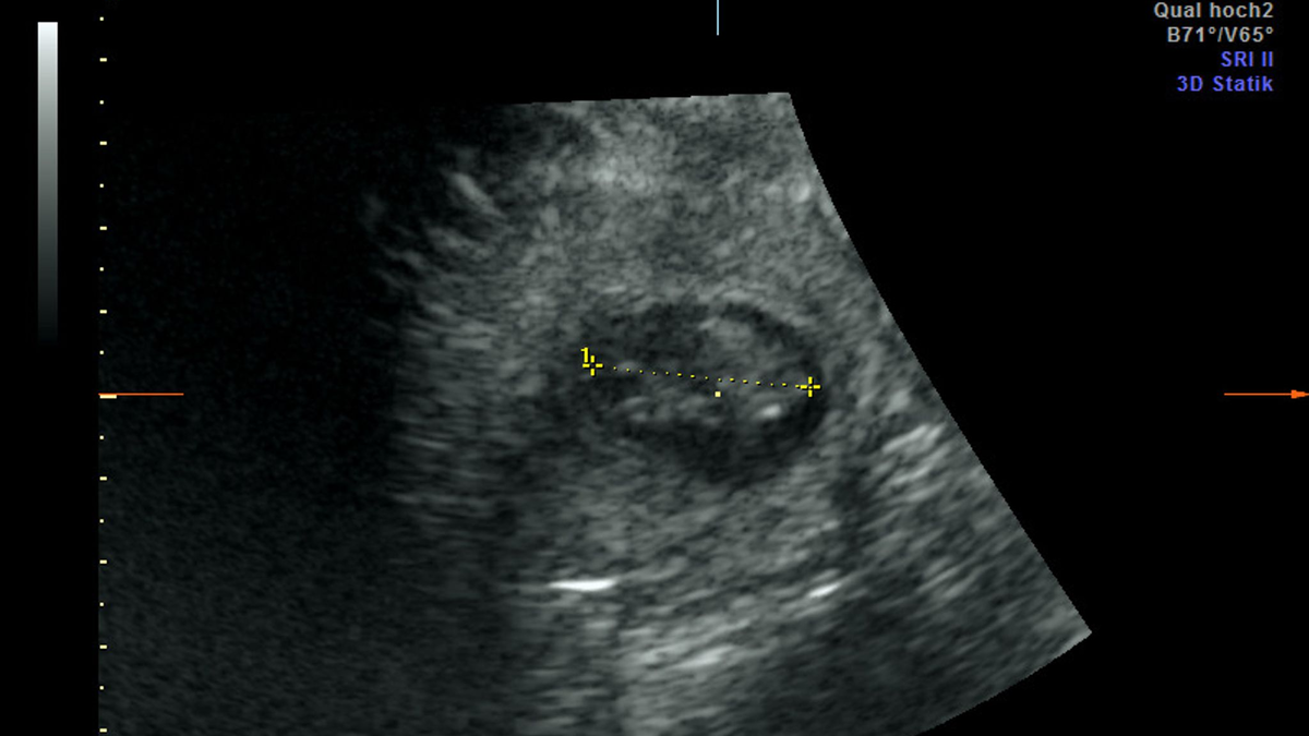
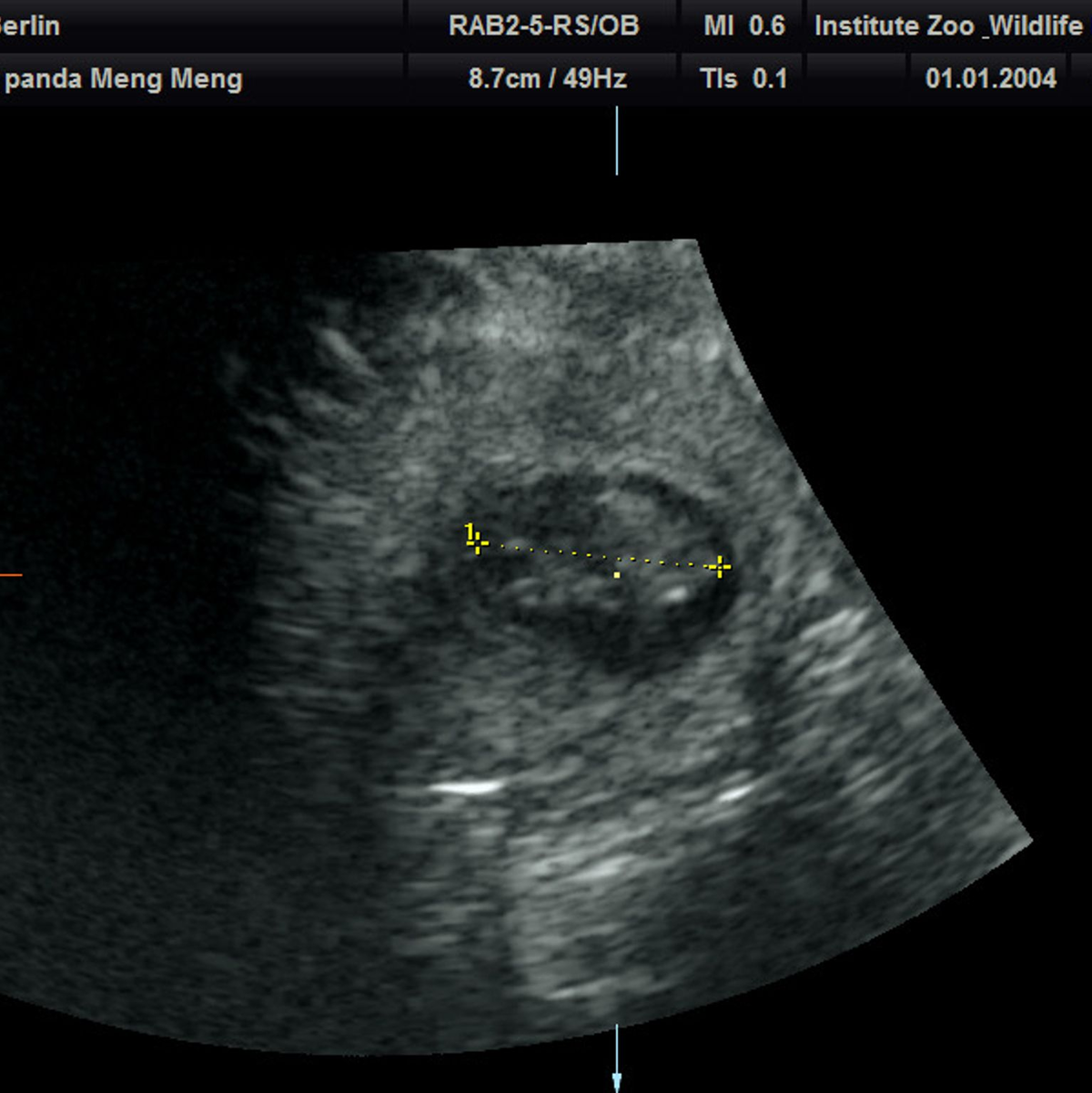
13.08.2024 - 08:49:13Nach fünf Jahren wird im Berliner Zoo wieder Panda-Nachwuchs erwartet. Das Pandaweibchen Meng Meng ist mit zwei Jungtieren trächtig, wie der Zoo am Dienstag mitteilte. «Nach Wochen gespannten Hoffens brach am Sonntagmorgen im Panda Garden des Zoo Berlin ein kleiner Jubel aus. Erst war ein Herzschlag, kurz darauf sogar ein zweiter auf dem Ultraschallgerät zu erkennen.» Die Pandababys seien etwa 2,5 Zentimeter groß und müssten bis zur Geburt jetzt noch ordentlich wachsen.
2019 war Meng Meng zum ersten Mal trächtig und brachte Zwillinge zur Welt. Im März dieses Jahres sei nach intensiver Beobachtung und sorgfältiger Vorbereitung durch internationale Experten eine künstliche Besamung bei dem Panda durchgeführt worden. Die weiblichen Tiere seien im Jahr nur für etwa 72 Stunden fortpflanzungsfähig. Der Zoo betonte nun, wie schon vor fünf Jahren sei man bestens auf eine mögliche Geburt vorbereitet. Neben weiteren Experten sei auch am Sonntag erneut Unterstützung aus China angereist.
Kühles Ultraschall-Gel auf Panda-Bauch
Bei Ultraschall-Untersuchungen auf eine mögliche Schwangerschaft habe sich das Pandaweibchen zuletzt nicht besonders kooperativ gezeigt. Am Sonntag sei es aber gut gelaufen. «Trotz sichtlichen Bauchkneifens ließ sich Meng Meng überzeugen, in den aufrechten Stand zu kommen und das kühle Ultraschall-Gel sowie die Untersuchung mit der Ultraschall-Sonde zu akzeptieren», teilte Thomas Hildebrandt, Leiter der Abteilung für Reproduktionsmanagement am Leibniz-Institut für Zoo- und Wildtierforschung, mit. Die Untersuchung im Stehen habe schließlich die freudige Nachricht gebracht, dass Meng Meng trächtig sei.
Die Freude im Team sei riesig gewesen, weil es schon einige erfolglose Ultraschallversuche gegeben habe, sagte die Zootierärztin Franziska Sutter, die ebenfalls an der Untersuchung beteiligt war. «Bei aller Begeisterung müssen wir uns darüber im Klaren sein, dass das ein sehr frühes Stadium der Trächtigkeit ist und eine sogenannte Resorption – also ein Absterben - des Embryos zu diesem Zeitpunkt noch möglich ist.»
Vor fünf Jahren war die Geburt eine Sensation
Die Entwicklung werde mit Ultraschalluntersuchungen und einer Hormonanalyse weiterverfolgt. «Wir hoffen sehr, dass alles genauso gut klappt wie beim letzten Mal 2019.» Damals war die erste Panda-Geburt in einem deutschen Zoo überhaupt eine Sensation. Die Zwillinge und einstigen Publikumslieblinge Pit und Paule wurden inzwischen nach China ausgeflogen.
Nun sei Meng Meng sehr schläfrig und werde in den kommenden Wochen für die Besucher des Zoos nicht immer zu sehen sein. Männchen Jiao Qing (14) halte so lange die Stellung. Große Pandas seien Einzelgänger und die Männchen auch in der Natur nicht an der Aufzucht der Jungtiere beteiligt.
Die Tragzeit beträgt bei Großen Pandas in der Regel drei bis sechs Monate. Zuvor ist laut Zoo die sogenannte Keimruhe der Grund dafür, dass es so lange gedauert hat, bis die Trächtigkeit von Meng Meng offiziell bestätigt werden konnte. «Anders als bei den meisten Säugetieren tritt bei den Großen Pandas keine sofortige Einnistung der befruchteten Eizelle in die Gebärmutterwand ein. Stattdessen verbleibt die befruchtete Eizelle für eine gewisse Zeit im Uterus der Mutter in einem Ruhezustand.» Dieser Zeitraum könne mehrere Monate dauern, währenddessen sich der Embryo nicht weiterentwickele. Erst bei günstigen äußeren Bedingungen beginne sich ein Embryo zu entwickeln.





