Thema: Äquatorialguinea

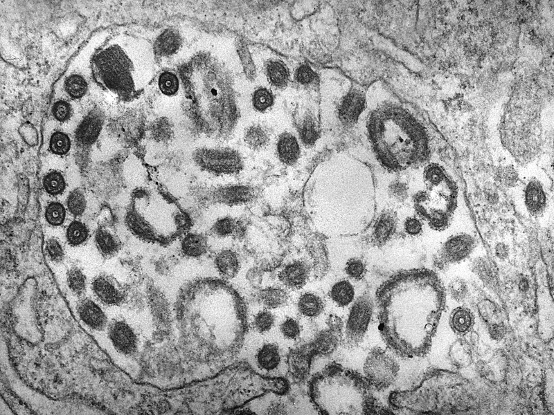
Die Transmissionselektronenmikroskopie (TEM) einer Gewebeprobe zeigt das Vorhandensein zahlreicher Marburg-Viruspartikel. - Foto: Fred Murphy/CDC/dpa
Die Transmissionselektronenmikroskopie (TEM) einer Gewebeprobe zeigt das Vorhandensein zahlreicher Marburg-Viruspartikel. - Foto: Fred Murphy/CDC/dpa